DR:SAAD ABDALLAH & DT:Ghadaf Hirakee
12-03-2026
714
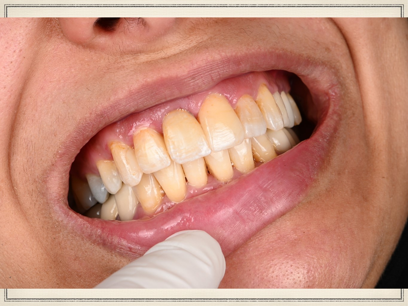
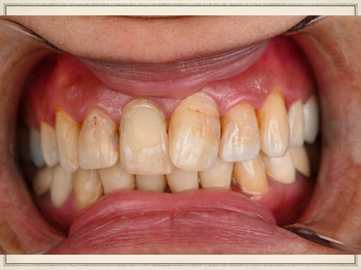
Natural aesthetics, perfect alignment, and a confident smile!
Share with ..
Send Comment
| Dr Omar Aydya | 19-03-2026 08:09:34 |
| Impressive Case
Exceptional treatment plan with flawless execution. Outstanding lab work and marginal fit. The final result is magnificent. excellent work to be honest. |
|
| BILAL | 13-03-2026 04:02:13 |
| Anterior aesthetics is all about harmony, shape, and natural beauty.
Great results come from the collaboration between the dentist and the dental technician. #AnteriorAesthetics #DentalLab #DentalCeramics |
|
